ExEm Foam Nowoczesna diagnostyka niepłodności METODA PIANKOWA
Zestaw ExEm Foam jest przełomowym rozwiązaniem w dziedzinie badań diagnostycznych z użyciem środka kontrastowego.
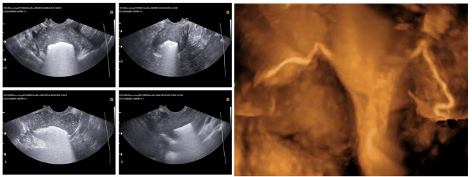
Pianka ExEm Foam umożliwia łatwą i bardzo skuteczną ocenę drożności jajowodów podczas wykonywania procedury HyCoSy.




Zestaw ExEm Foam jest przełomowym rozwiązaniem w dziedzinie badań diagnostycznych z użyciem środka kontrastowego.
Pianka ExEm Foam umożliwia łatwą i bardzo skuteczną ocenę drożności jajowodów podczas wykonywania procedury HyCoSy.
Zestaw został specjalnie opracowany do tworzenia pianki z mikrobąbelkami, która wprowadzona poprzez jamę macicy do jajowodów powoduje idealne rozszerzenie ich ścian.
Stosując ExEm®Foam otrzymujemy wysokiej jakości obraz USG.
Zalety użycia zestawu:
- Umożliwia uzyskanie jasnej wizualizacji konturu jajowodów
- Potencjalnie zmniejsza dyskomfort pacjentki podczas badania
- Używany w połączeniu z USG pozwala na większą kontrolę nad procedurą podania środka kontrastowego
- Dokładniej ocenia jamę macicy pod względem zmian patologicznych
- Nie wykorzystuje promieniowania aparatu rentgenowskiego, jest więc badaniem bezpieczniejszym i nieszkodliwym dla organizmu
- Nie ma możliwości uczulenia na jod, który jest składnikiem kontrastu używanego podczas klasycznego HSG
- UMOŻLIWIA natychmiastowy powrót do aktywności fizycznej i pracy
Wskazania do badania HyCoSy:
- Podejrzenie niepłodności
- Podejrzenie polipów jamy macicy
- Podejrzenie zrostów
- Diagnostyka mięśniaków macicy
- Podejrzenie niewydolności szyjki macicy
- Patologiczne zmiany w jamie macicy
Przeciwwskazania do badania HyCoSy :
- miesiączka,
- podejrzenie ciąży lub ciąża,
- stan zapalny narządu rodnego,
- uczulenie na preparat kontrastowy.
